Recessed Lighting Installation Necrotizing Granulomatous Inflammation - Granulomatous Inflammation Dr Ahmed Alhumaidi Assistant Professor And / Foreign body talc, suture material necrotising granulomas mycobacterium tuberculosis, histoplasma capsulatum, granuloma annulare non necrotising.

Recessed Lighting Installation Necrotizing Granulomatous Inflammation - Granulomatous Inflammation Dr Ahmed Alhumaidi Assistant Professor And / Foreign body talc, suture material necrotising granulomas mycobacterium tuberculosis, histoplasma capsulatum, granuloma annulare non necrotising.. Necrotizing granulomas are commonly encountered in surgically resected specimens. Epithelioid cells are modified macrophages that are actively involved in phagocytizing. Acute local inflammation develops within. American journal of surgical pathology. After reporting granulomatous inflammation on hematoxylin & eosin staining of aspirates from fnac, some unstained slides were subjected to special stains, like zn, gms, and pas.

The walls of the vessels are thickened by chronic inflammatory cells including granulomatous inflammation. Usually in fully developed disease. There can be diverse morphological appearances histologically and numerous aetiologies. Necrotizing granulomas are commonly encountered in surgically resected specimens. Foreign body talc, suture material necrotising granulomas mycobacterium tuberculosis, histoplasma capsulatum, granuloma annulare non necrotising.

1
1 from
Inflammation is the response of vascularized tissues to harmful stimuli such as infectious agents, mechanical damage, and chemical irritants. This presentation mainly deals with granuloma formation and various factors involved in it. Local inflammatory response (local inflammation) occurs within the area affected by the harmful stimulus. Does every necrotizing granulomatous inflammation identified by nsclc resection material require treatment? Histopathological analysis revealed necrotizing granulomatous inflammation without vasculitis and neutrophilic collections in the superficial and deep dermis. Acute local inflammation develops within. Core needle biopsy of a lung nodule. A granuloma is a small, round collection of specialized immune cells that stick together to both surround and remove a harmful agent from the body.

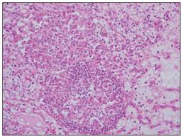
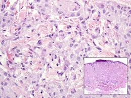
A granulomatous inflammatory reaction pattern in the skin is common.

Does every necrotizing granulomatous inflammation identified by nsclc resection material require treatment? Start studying granulomatous and specific inflammation (l8). Chronic granulomatous inflammation is a proliferative inflammation characterized by macrophages usually surrounded by lymphocytes and on occasion by plasma cells, polymorphonuclear leukocytes, and eosinophils. = inflammation with typical histological features. The computed tomography demonstrated 2 hypodense tumors with @article{chou2016necrotizinggi, title={necrotizing granulomatous inflammation of the liver}, author={c. In this short tutorial i have tried to explain the concepts in granulomatous inflammation, which includes the role and functions of macrophage/histiocytes. After reporting granulomatous inflammation on hematoxylin & eosin staining of aspirates from fnac, some unstained slides were subjected to special stains, like zn, gms, and pas. Questions and answers on necrotizing granulomatous inflammation. This presentation mainly deals with granuloma formation and various factors involved in it. Core needle biopsy of a lung nodule. Granulation tissue granulomatous change necrotizing granulomatous inflammation chronic necrotizing caseating granulomatous inflammation. Research of necrotizing granulomatous inflammation has been linked to granuloma, inflammation, tuberculosis, vasculitis, wegener granulomatosis. The walls of the vessels are thickened by chronic inflammatory cells including granulomatous inflammation.

After reporting granulomatous inflammation on hematoxylin & eosin staining of aspirates from fnac, some unstained slides were subjected to special stains, like zn, gms, and pas. Caseous necrosis, necrotizing granulomatous inflammation herunter und finden sie ähnliche bilder auf adobe stock. Usually in fully developed disease. This means there was an area of intense inflammation in your lung. Acute local inflammation develops within.

Granulomatous Inflammation Dr Ahmed Alhumaidi Assistant Professor And
Granulomatous Inflammation Dr Ahmed Alhumaidi Assistant Professor And from slidetodoc.com
= inflammation with typical histological features. Inflammation is the response of vascularized tissues to harmful stimuli such as infectious agents, mechanical damage, and chemical irritants. Questions and answers on necrotizing granulomatous inflammation. Figure 11 algorithm for diagnostic approach to necrotizing. Pdf | necrotizing granulomas are commonly encountered in surgically resected specimens. A granuloma is a small, round collection of specialized immune cells that stick together to both surround and remove a harmful agent from the body. Local inflammatory response (local inflammation) occurs within the area affected by the harmful stimulus. The necrotizing granulomatous inflammation also affects vessel walls contiguously or contain focal vasculitis, thrombosis, and fibrous obliteration of the lumen of vessels (colby and specks, 1993).

The necrotizing granulomatous inflammation also affects vessel walls contiguously or contain focal vasculitis, thrombosis, and fibrous obliteration of the lumen of vessels (colby and specks, 1993).

Inflammation is the response of vascularized tissues to harmful stimuli such as infectious agents, mechanical damage, and chemical irritants. What does it mean if your special stains are negative? Chronic granulomatous inflammation is a proliferative inflammation characterized by a cellular infiltrate of epithelioid cells [and sometimes inflammatory giant cells, lymphocytes, plasma cells, polymorphonuclear leukocytes (pmns), and eosinophils; American journal of surgical pathology. (a) the main finding in this biopsy is necrosis. Acute local inflammation develops within. Had lung surgery vats wedge resection result necrotizing granulomatous inflammation what does it mean? answered by dr. A granuloma is a focal, compact collection of inflammatory cells. Epithelioid cells are modified macrophages that are actively involved in phagocytizing. Learn vocabulary, terms and more with flashcards, games and other study tools. The most immediate concern in the setting of eyelid necrosis is periorbital necrotizing fasciitis, which can be blinding and fatal.1 the evolution of. Fortunately, this is not cancer. The walls of the vessels are thickened by chronic inflammatory cells including granulomatous inflammation.

American journal of surgical pathology. Incidence and nature of primary granulomatous inflammation in surgically removed material. Necrotizing granulomas are commonly encountered in surgically resected specimens. Acute local inflammation develops within. A granuloma is a focal, compact collection of inflammatory cells.

Granulomatous Inflammation Ento Key
Granulomatous Inflammation Ento Key from entokey.com
Chronic granulomatous inflammation is a proliferative inflammation characterized by macrophages usually surrounded by lymphocytes and on occasion by plasma cells, polymorphonuclear leukocytes, and eosinophils. Histopathological analysis revealed necrotizing granulomatous inflammation without vasculitis and neutrophilic collections in the superficial and deep dermis. Does every necrotizing granulomatous inf. Foreign body talc, suture material necrotising granulomas mycobacterium tuberculosis, histoplasma capsulatum, granuloma annulare non necrotising. The necrotizing granulomatous inflammation also affects vessel walls contiguously or contain focal vasculitis, thrombosis, and fibrous obliteration of the lumen of vessels (colby and specks, 1993). Necrotizing granulomas are commonly encountered in surgically resected specimens. (a) the main finding in this biopsy is necrosis. A granulomatous inflammatory reaction pattern in the skin is common.

Fortunately, this is not cancer.

The walls of the vessels are thickened by chronic inflammatory cells including granulomatous inflammation. Cases positive for afb on zn stain and fungus on gms/pas were noted down along with their frequency and percentages. The necrotizing granulomatous inflammation also affects vessel walls contiguously or contain focal vasculitis, thrombosis, and fibrous obliteration of the lumen of vessels (colby and specks, 1993). Necrotizing granulomas are commonly encountered in surgically resected specimens. This means there was an area of intense inflammation in your lung. A granuloma is a focal, compact collection of inflammatory cells. A granuloma is a small, round collection of specialized immune cells that stick together to both surround and remove a harmful agent from the body. After reporting granulomatous inflammation on hematoxylin & eosin staining of aspirates from fnac, some unstained slides were subjected to special stains, like zn, gms, and pas. Start studying granulomatous and specific inflammation (l8). There can be diverse morphological appearances histologically and numerous aetiologies. The principal reaction patterns are those of epithelioid (sarcoidal and tuberculoid) granulomas, palisaded granulomas. Histopathological analysis revealed necrotizing granulomatous inflammation without vasculitis and neutrophilic collections in the superficial and deep dermis. Acute local inflammation develops within.